Navigating At-Home Orthodontic Options: Cons & Considerations
While mail-order orthodontics may seem like a convenient way to straighten your teeth, there are a lot of risks involved. Mail-order orthodontic treatment often doesn’t require you to meet in a dentist or orthodontist’s office before receiving your appliance. This means that you will neither have x-rays taken nor have a thorough examination performed, which are both essential for an accurate diagnosis and personalized treatment plan.
Improperly fitted appliances could lead to permanent damage to your mouth and teeth. It’s important to note that quick and easy solutions are not necessarily more effective than professional treatment.

Considering At-Home Treatment? Read This First.
We strongly discourage even the consideration of any mail-order orthodontic treatment due to the potential risks involved. While it may seem like you are getting a good deal, there are a lot of risks involved that could cause serious problems for your mouth and teeth. Quick and easy is rarely better.
There are a few key questions you should consider when researching mail-order orthodontic options so you are informed before making any treatment decisions:

1. Do you receive any in-person visits to a dentist’s or orthodontist’s office as part of your treatment fee?
In most cases, mail-order orthodontic companies do not include an in-person evaluation or in-person supervision of your orthodontic treatment by a licensed orthodontist.
Orthodontic treatment is a complex process that involves the movement of biological material to correct misaligned teeth. When not correctly supervised, at-home orthodontic treatment can lead to potentially irreversible and expensive damage, such as tooth and gum loss, changed bites, and other more serious and costly complications.
2. Who is supervising my mail-order treatment?
In some cases, there might be a dentist or an orthodontist who may oversee your treatment plan, but you would never have the opportunity to meet or talk with them in person. Do you know their educational background or credentials? How will you contact them if you have issues? Can you read reviews from other patients they have treated in the past? Do you even know what state they are practicing in? Suppose the answer is “no” to any of these inquiries. In that case, it raises the critical question of whether you are comfortable initiating an orthodontic treatment plan without a clear understanding of who is technically overseeing your care. This raises serious reservations about the feasibility and safety of such an approach.


3. Is treatment customized to your unique needs?
Because everyone’s mouth and jaws are unique, there’s no one-size-fits-all approach to orthodontic treatment. A thorough examination of the teeth, their position in the jaws, and the relationship of the upper and lower jaws is essential to developing a custom treatment plan that is unique to each individual.
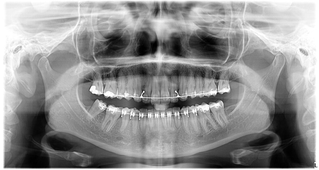
During an in-person visit, your orthodontist will closely examine dental records and take panoramic X-rays to identify potential problems below the surface. These are crucial steps of the treatment process that are usually left out when seeking mail-order orthodontic options.
4. Are diagnostic records like X-rays taken before your treatment?
In-person orthodontic treatments include the creation and examination of X-rays and comprehensive diagnostic records. Your teeth and mouth are unique, and examining your mouth with X-rays allows your orthodontist to see things below the surface, like jaw position, missing teeth, roots of your teeth, and the bone structure of your jaw. Knowing this information helps create a customized and detailed treatment, individualized for you. If an at-home orthodontic treatment provider answers “no” to this question, they are just creating a one-size-fits-most plan, that may not be the right one for you.

AAO Orthodontists Have Your Best Interest in Mind
The AAO is a professional association of orthodontists dedicated to improving your health by promoting quality orthodontic care, emphasizing the importance of overall oral health and safety, and advocating for public interest. Your health and well-being are essential to us. When you work with an AAO orthodontist, you can rest assured you are in expert hands.
Remember, orthodontic treatment is not a product or device but a professional medical service. When an AAO orthodontist personally supervises your care, you can feel confident in your quality of treatment, as AAO orthodontists spend years in a post-doctoral residency program to learn the proper ways of providing appropriate treatment to patients.
Before deciding about orthodontic treatment, consider scheduling an in-person consultation with an AAO orthodontist. No matter your treatment plan, our specialists can help you determine what is best for your unique needs.